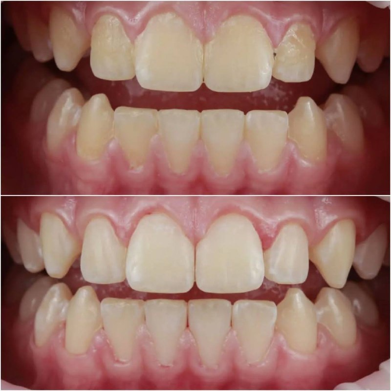
Мягкий зубной налет — это не просто эстетическая проблема, но и серьезный вызов для здоровья ротовой полости. В отличие от заметного зубного камня, мягкий налет может оставаться незамеченным, однако его последствия могут быть крайне серьезными.
Внутри этого налета скрывается множество патогенных микроорганизмов, которые способны нанести вред зубам. Эти микробы выделяют кислоты, которые действуют на эмаль, приводя к ее деминерализации и, как следствие, к развитию кариеса. Игнорировать эту проблему нельзя!
Основные меры по уходу за полостью рта
- Ежедневная гигиена: Регулярное очищение зубов — первый шаг к здоровой улыбке. Используйте зубную щетку не менее двух раз в день.
- Зубная нить: Этот инструмент помогает удалить налет из труднодоступных мест между зубами.
- Ополаскиватели: Использование специальных ополаскивателей способствует устранению микробов и поддерживает свежесть дыхания.
Профессиональная гигиена полости рта
Кроме домашнего ухода, не стоит забывать о визите к стоматологу-гигиенисту. Профессиональная чистка зубов поможет удалить налет, который может укрыться даже от внимательного взгляда. Специалист даст индивидуальные рекомендации по выбору средств и методик ухода, исходя из особенностей зубного ряда.
Забота о здоровье ротовой полости требует последовательности и внимания. Не дайте мягкому налету шанса!































